La fractura de muñeca o de radio distal es de las lesiones óseas mas frecuentes tratadas por el cirujano ortopédico.
El mecanismo más frecuente es la caída de su propia altura en pacientes mayores o los accidentes de tráfico en caso de los pacientes más jóvenes.
La mayoría de las fracturas se trata de forma conservadora mediante la reducción bajo anestesia local por el traumatólogo y colocación de férula durante mínimo 6 semanas o en pequeños porcentajes mediante tratamiento quirúrgico con agujas de kishner, placa y tornillos o fijadores externos según el tipo y la localización de la fractura.
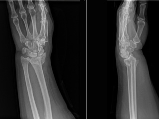
Clínicamente el paciente acude a hospital con dolor severo con deformidad e impotencia funcional de la muñeca y tras ser evaluado por el equipo médico se completa el estudio de imagen mediante radiografías antero posterior y lateral que serán evaluadas por el cirujano ortopédico que tomara la decisión de tratamiento definitivo según el tipo de lesión.
Tras el tratamiento ortopédico o quirúrgico el paciente suele necesitar tratamiento rehabilitador que se puede hacer de forma ambulatoria bajo la supervisión de fisioterapeuta y en muchos casos se deben de hacer un estudio de calidad ósea dado que los pacientes mayores tiene alto riesgo que en el futuro tenga otras fracturas osteoporoticas en cuyo caso precisa iniciar tratamiento antiresorbtivo y osteoformador.






